郑州大二女生KTV唱歌后脑出血 这种事已经出现了多例
大二女生KTV唱歌后脑出血 这种事已经出现了多例
大二女生欢欢躺在病床上休息
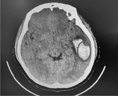
患者的脑部检查结果,圆圈处为出血区域。
□大河报·大河客户端记者魏浩文图
近日,大二女生欢欢(化名)和朋友在歌厅唱完一首《凉凉》后,就感觉恶心、呕吐,送到医院时医生说女孩已经出现脑出血,若不是送医及时,后果不堪想象。
唱首歌就脑出血了?真有这事!
6月18日上午,在郑大一附院郑东院区急诊抢救室,20岁的欢欢躺在病床上,正在休息。虽然入院已经超过36小时,但医生称她还处于危险期,“必须密切观察”。
回忆入院前的情形,欢欢告诉医生。上周日晚上,她和老乡聚会后到KTV唱歌。在唱了一首《凉凉》后,放下话筒就开始感觉头疼、恶心。同学以为是不洁食物所致,带她回了学校宿舍休息。然而几个小时后,欢欢头疼、头晕的症状更加剧烈,其间还出现了呕吐。
当晚11点,欢欢被送到郑大一附院郑东院区。急诊医学部医生接诊后,检查发现女孩有脑出血发生,情况比较危急。“出血量比较大,有将近30毫升。如果发生在老年人身上,可能已经昏迷或偏瘫了。”副主任医师刘奇说,欢欢虽然年纪比较小,症状表现比较轻,但也不能大意。当时虽然欢欢没有带钱,但医院还是为她积极救治。
刘奇说,自发性脑出血72小时内一般是危险期,需要在监护室密切监测病情,每个小时观察瞳孔。危险期后复查没有明显问题的话,可以转出监护室由家人陪护,但也要避免过多打扰、情绪激动、下床活动等危险因素。
相似病例已发生多起,高危人群切勿情绪波动过大
“从目前的检查结果来看,患者没有脑血管的异常,需要进一步排查原因。”该院区急救中心主任兰超说,等过几天患者脑出血全部吸收后,可以做进一步的检查,以明确患者的出血病因。
专家称,检查未发现欢欢有先天性疾病,目前还是考虑暑假前考试压力大、休息不好、过度劳累等诱发因素。从医学的角度来说,“养成良好的生活作息习惯,是避免意外发生的重要因素”。
据了解,因为唱歌导致脑出血的患者,已经出现了多例。
此前,郑州某高校校长在唱歌时,引发脑干出血,导致昏迷多年。
2017年4月23日,武汉56岁的陈女士在KTV唱到《洪湖赤卫队》的高音部分时突发脑出血,她曾在6年前体检时就查出高血压。
2017年底,湖北郧西县一家健康管理店推广玉石产品时,高血压患者李某及一群老年男女应邀来到店里参与活动。为活跃气氛,在众人的推荐下,平时唱歌不错的李某一时兴起,来到台前演唱了一曲《拉着妈妈的手》,并获得了满场喝彩。台下观众及主持人陈某邀请李某再来一首,而李某早已忘记自己还患有高血压,又高歌了一曲。没想到,李某刚唱完就感觉身体不适,随即被送往医院抢救,最终因脑干出血长期瘫痪在床。
“因为大声唱歌,会导致血压升高。”郑大一附院郑东院区副主任医师刘奇提醒,尤其是过度劳累、有高血压、精神情绪紧张的病人,在从事剧烈活动时,要注意劳逸结合,避免发生意外。
【责任编辑:张怡 】 【内容审核:李敏雪 】 【总编辑:甄慧敏 】



